Quiste Dentígero
Paciente masculino, de 16 años de edad, sin antecedentes médicos contributorios, se presenta en consulta refiriendo aumento de volumen en cuerpo mandibular derecho con un año de evolución.

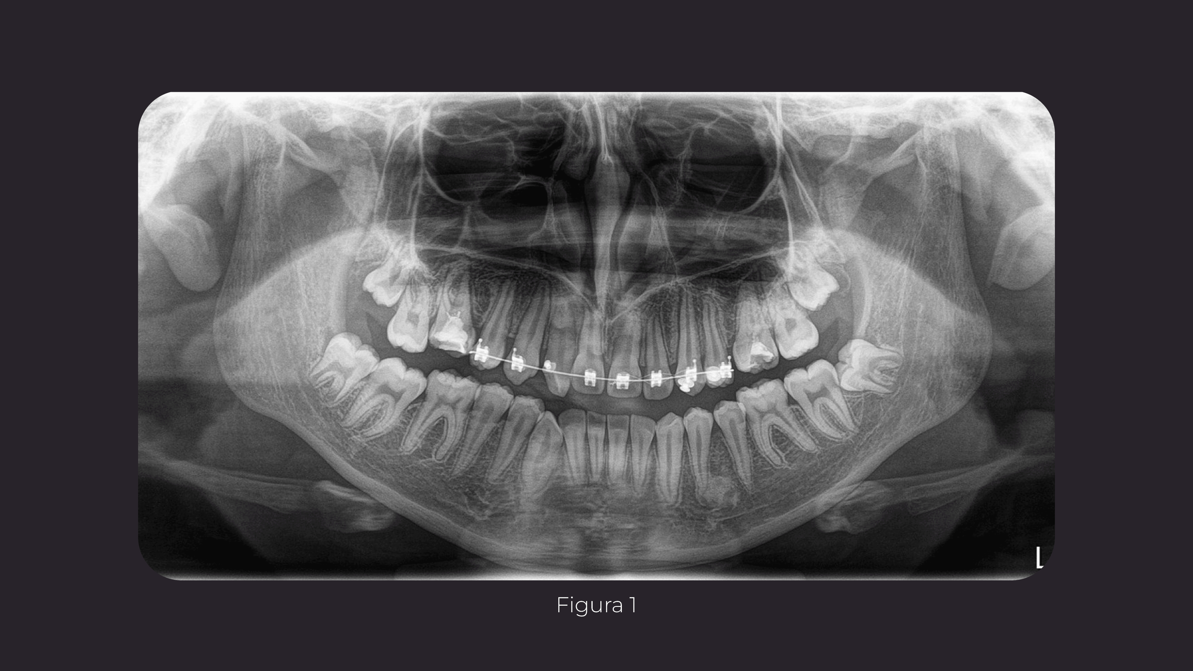
Figura 1
En la evaluación imagenológica se observa en la radiografía panorámica una imagen radiolúcida unilocular en relación a la pieza 48 que se encuentra en evolución intraósea en posición horizontal; la imagen está localizada en cuerpo y ángulo mandibular del lado derecho y presenta limites definidos con bordes corticalizados; se observa que la lesión se extiende hasta la región periapical de pieza 4.7 la cual presenta reabsorción radicular apical.
Signos radiográficos sugerentes de probable lesión quística.

Figura 2
A la exploración con la tomografía computarizada de haz cónico se observó:
Fig.2: Presencia de imagen hipodensa unilocular localizada en cuerpo y ángulo mandibular del lado derecho, presenta forma redondeada con limites definidos y bordes corticalizados, se relaciona con la pieza 4.8 incluida en posición horizontal; la imagen hipodensa se extiende desde la región pericoronaria a nivel del límite amelo cementario de pieza 4.8 a nivel del ángulo mandibular hasta el reborde alveolar donde produce perforación de la cortical ósea con consecuente comunicación con la cavidad bucal; la lesión recorre en sentido céfalo caudal desde el reborde alveolar hasta la cortical superior del conducto dentario inferior desplazándolo hacia la basal mandibular, la lesión hipodensa presenta diámetros entre 36.9 mm y 19.0 mm.

Figura 3
Fig.3: La lesión hipodensa se encuentra y recorre la medular ósea del cuerpo mandibular del lado derecho y produce el adelgazamiento de ambas corticales óseas vestibular y lingual a predominio de la tabla ósea lingual.

Figura 4
Fig.4: La pieza dentaria 4.7 presenta aplanamiento del contorno apical en su raíz distal compatible con reabsorción radicular patológica.
La pieza dentaria 4.8 en evolución intraósea, localizada en ángulo mandibular del lado derecho en posición horizontal con su corona orientada hacia tabla ósea lingual, se encuentra inmersa en la imagen hipodensa que emerge de su región pericoronaria. El conducto dentario inferior presenta marcada proximidad al borde inferior de la lesión hipodensa con desplazamiento caudal próximo a la basal mandibular y orientado hacia la cortical ósea lingual.
Comentarios
El quiste dentígero es una lesión benigna (Quiste del desarrollo) que se origina en el epitelio odontogénico asociado a la corona de un diente incluido o en proceso de erupción.
Son radiolúcidos y uniloculares, generalmente asintomáticos y diagnosticados en exámenes de rutina o exámenes radiográficos. En la dentición permanente los terceros molares inferiores y los caninos superiores son los dientes más afectados, provocando deformidad facial, impactación y desplazamiento de piezas dentales y estructuras adyacentes.

RESUMEN PROFESIONAL
- Cirujano Dentista. Universidad Nacional San Antonio Abad del Cusco. COP: 20218
- Especialista en Radiología Oral y Maxilofacial. Universidad Peruana Cayetano Heredia. RNE: 0339
- Maestría en Docencia Universitaria. Universidad Andina del Cusco.
- Diploma en Radiología Oral y Maxilofacial. Universidad Científica del Sur “Centro de Diagnóstico por Imágenes”.
- Miembro de la Asociación Peruana de Radiología Bucal y Maxilofacial.
EXPERIENCIA LABORAL
- Medical Dent Digital. Servicio de Radiología Oral y Maxilofacial. (Actualmente)
- Centro de Diagnóstico Radiológico Estomatológico Cusco. Servicio de Radiología Oral y Maxilofacial. (2009 – 2013)
- Docencia Post Grado en Imagenología en Endodoncia. Universidad Wiener.











